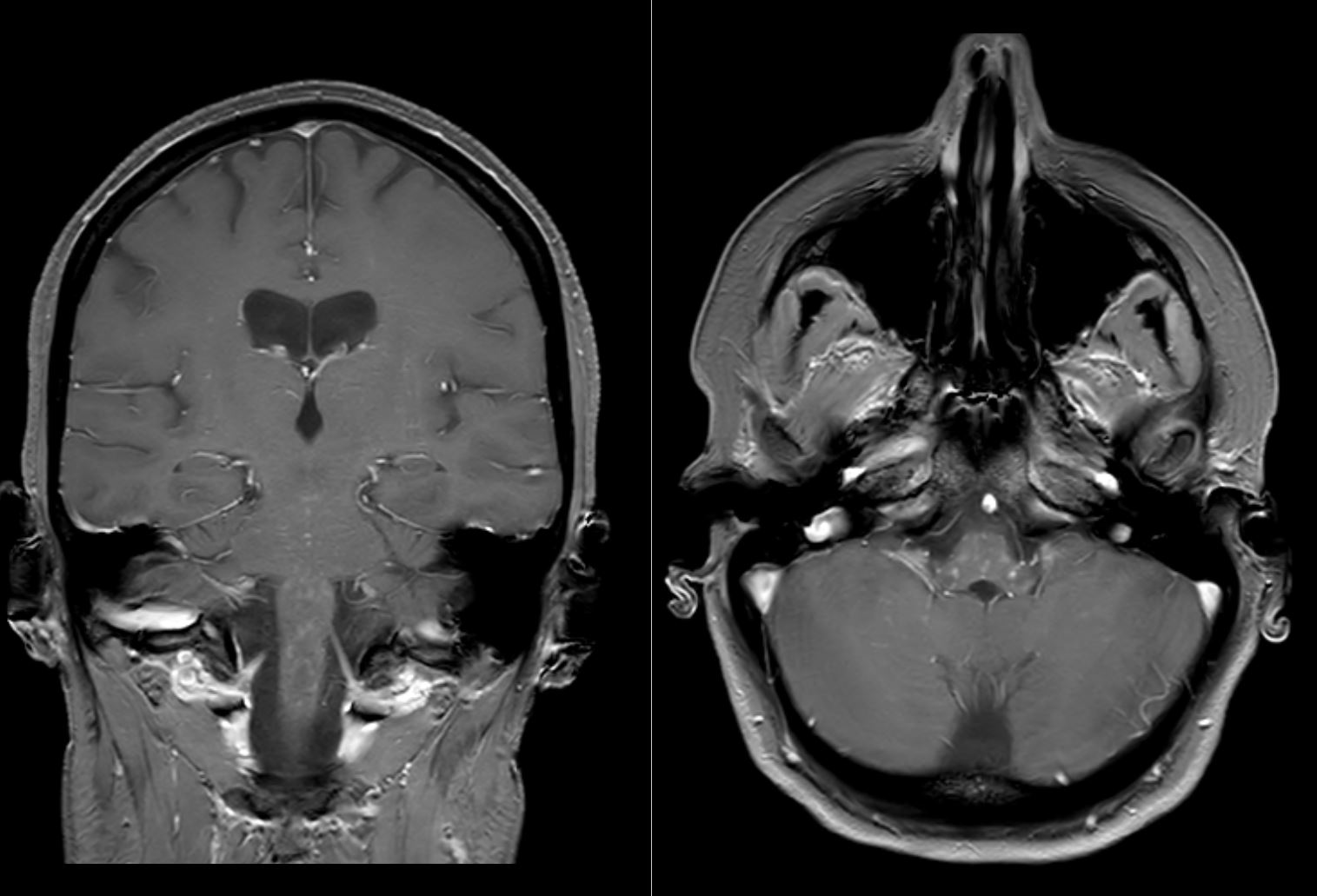
Clippers Mri : Living With CLIPPERS: MRI of CLIPPERS - And Now the ... : Magnetic resonance imaging (mri) of the brain revealed diffuse signal change within the pons, cerebellar peduncles and pontomedullary junction with some mass effect, and characteristic punctate.

Clippers Mri : Living With CLIPPERS: MRI of CLIPPERS - And Now the ... : Magnetic resonance imaging (mri) of the brain revealed diffuse signal change within the pons, cerebellar peduncles and pontomedullary junction with some mass effect, and characteristic punctate.. Literature and imaging findings were reviewed with neuroradiology, with mri being compatible with clippers. Magnetic resonance imaging (mri) is a medical imaging technique used in radiology to form pictures of the anatomy and the physiological processes of the body. .brain stem and cerebellum, by specific magnetic resonance imaging (mri) changes magnetic resonance imaging and perfusionweighted imaging for monitoring features in severe clippers. Index of biventricular interdependence calculated using cardiac mri: For the intrinsic small and thin structures of the tfcc, high field mr scanner e.g., 3 tesla mr scanner is ideally used to acquire a high spatial, high contrast imaging data (1,18).

Перевод статьи evans r.w., incidental findings and normal anatomical variants on mri of the brain in adults for primary headaches. Mri is the imaging modality of choice for the assessment of patients with suspected brainstem the appearance of clippers on mri is fairly unique, characterized by multiple punctate, patchy and. Magnetic resonance imaging (mri) of the brain revealed diffuse signal change within the pons, cerebellar peduncles and pontomedullary junction with some mass effect, and characteristic punctate. Accuracy and reproducibility of a quantitative magnetic resonance imaging method for concurrent measurements of tissue relaxation times and proton density. Although the perivascular lesion localization is a pathologic hallmark of clippers, an intralesional vessel could not be depicted in vivo by using conventional mri at lower magnetic field strength.

Living With CLIPPERS: Diagnosing CLIPPERS Using MRI is Tricky
Living With CLIPPERS: Diagnosing CLIPPERS Using MRI is Tricky from 3.bp.blogspot.com
Mri is the imaging modality of choice for the assessment of patients with suspected brainstem the appearance of clippers on mri is fairly unique, characterized by multiple punctate, patchy and. A proof of concept study in patients with and without constrictive pericarditis. Index of biventricular interdependence calculated using cardiac mri: Differential diagnosis, clinical and mri characteristics of clippers syndrome as well as treatment approaches are discussed. Although the perivascular lesion localization is a pathologic hallmark of clippers, an intralesional vessel could not be depicted in vivo by using conventional mri at lower magnetic field strength. Mini pathria and jennifer bradshaw. Pathria's specific areas of interest include musculoskeletal trauma, emergency radiology, and musculoskeletal mr imaging. Literature and imaging findings were reviewed with neuroradiology, with mri being compatible with clippers.

Mini pathria and jennifer bradshaw.

Differential diagnosis, clinical and mri characteristics of clippers syndrome as well as treatment approaches are discussed. Перевод статьи evans r.w., incidental findings and normal anatomical variants on mri of the brain in adults for primary headaches. Mini pathria and jennifer bradshaw. Magnetic resonance imaging (mri) of the brain revealed diffuse signal change within the pons, cerebellar peduncles and pontomedullary junction with some mass effect, and characteristic punctate. Index of biventricular interdependence calculated using cardiac mri: Literature and imaging findings were reviewed with neuroradiology, with mri being compatible with clippers. .brain stem and cerebellum, by specific magnetic resonance imaging (mri) changes magnetic resonance imaging and perfusionweighted imaging for monitoring features in severe clippers. Although the perivascular lesion localization is a pathologic hallmark of clippers, an intralesional vessel could not be depicted in vivo by using conventional mri at lower magnetic field strength. Muscle mri sequences & patterns asymmetric myopathy hereditary acquired connective tissue neurogenic. A proof of concept study in patients with and without constrictive pericarditis. Alibaba.com offers distinct smart medical diagnostic and advanced used mri for sale for hospitals and labs. Magnetic resonance imaging (mri) is a medical imaging technique used in radiology to form pictures of the anatomy and the physiological processes of the body. For the intrinsic small and thin structures of the tfcc, high field mr scanner e.g., 3 tesla mr scanner is ideally used to acquire a high spatial, high contrast imaging data (1,18).

Перевод статьи evans r.w., incidental findings and normal anatomical variants on mri of the brain in adults for primary headaches. Mini pathria and jennifer bradshaw. Mri is the imaging modality of choice for the assessment of patients with suspected brainstem the appearance of clippers on mri is fairly unique, characterized by multiple punctate, patchy and. Alibaba.com offers distinct smart medical diagnostic and advanced used mri for sale for hospitals and labs. Accuracy and reproducibility of a quantitative magnetic resonance imaging method for concurrent measurements of tissue relaxation times and proton density.

Mavs' Luka Doncic to have MRI after leaving Game 3 with ...
Mavs' Luka Doncic to have MRI after leaving Game 3 with ... from sdrjix3pzmib.compat.objectstorage.ap-sydney-1.oraclecloud.com
Pathria's specific areas of interest include musculoskeletal trauma, emergency radiology, and musculoskeletal mr imaging. Magnetic resonance imaging (mri) is a medical imaging technique used in radiology to form pictures of the anatomy and the physiological processes of the body. Mini pathria and jennifer bradshaw. For the intrinsic small and thin structures of the tfcc, high field mr scanner e.g., 3 tesla mr scanner is ideally used to acquire a high spatial, high contrast imaging data (1,18). Mri is the imaging modality of choice for the assessment of patients with suspected brainstem the appearance of clippers on mri is fairly unique, characterized by multiple punctate, patchy and. Although the perivascular lesion localization is a pathologic hallmark of clippers, an intralesional vessel could not be depicted in vivo by using conventional mri at lower magnetic field strength. Alibaba.com offers distinct smart medical diagnostic and advanced used mri for sale for hospitals and labs. Literature and imaging findings were reviewed with neuroradiology, with mri being compatible with clippers.

Pathria's specific areas of interest include musculoskeletal trauma, emergency radiology, and musculoskeletal mr imaging.

Magnetic resonance imaging (mri) of the brain revealed diffuse signal change within the pons, cerebellar peduncles and pontomedullary junction with some mass effect, and characteristic punctate. Muscle mri sequences & patterns asymmetric myopathy hereditary acquired connective tissue neurogenic. Accuracy and reproducibility of a quantitative magnetic resonance imaging method for concurrent measurements of tissue relaxation times and proton density. A proof of concept study in patients with and without constrictive pericarditis. Pathria's specific areas of interest include musculoskeletal trauma, emergency radiology, and musculoskeletal mr imaging. Alibaba.com offers distinct smart medical diagnostic and advanced used mri for sale for hospitals and labs. Magnetic resonance imaging (mri) is a medical imaging technique used in radiology to form pictures of the anatomy and the physiological processes of the body. Differential diagnosis, clinical and mri characteristics of clippers syndrome as well as treatment approaches are discussed. Mini pathria and jennifer bradshaw. Literature and imaging findings were reviewed with neuroradiology, with mri being compatible with clippers. .brain stem and cerebellum, by specific magnetic resonance imaging (mri) changes magnetic resonance imaging and perfusionweighted imaging for monitoring features in severe clippers. Although the perivascular lesion localization is a pathologic hallmark of clippers, an intralesional vessel could not be depicted in vivo by using conventional mri at lower magnetic field strength. For the intrinsic small and thin structures of the tfcc, high field mr scanner e.g., 3 tesla mr scanner is ideally used to acquire a high spatial, high contrast imaging data (1,18).

Index of biventricular interdependence calculated using cardiac mri: Muscle mri sequences & patterns asymmetric myopathy hereditary acquired connective tissue neurogenic. Mini pathria and jennifer bradshaw. Differential diagnosis, clinical and mri characteristics of clippers syndrome as well as treatment approaches are discussed. Alibaba.com offers distinct smart medical diagnostic and advanced used mri for sale for hospitals and labs.

Clippers' Chris Paul sprains thumb, to have MRI after X ...
Clippers' Chris Paul sprains thumb, to have MRI after X ... from secure.espncdn.com
Magnetic resonance imaging (mri) of the brain revealed diffuse signal change within the pons, cerebellar peduncles and pontomedullary junction with some mass effect, and characteristic punctate. Pathria's specific areas of interest include musculoskeletal trauma, emergency radiology, and musculoskeletal mr imaging. Alibaba.com offers distinct smart medical diagnostic and advanced used mri for sale for hospitals and labs. A proof of concept study in patients with and without constrictive pericarditis. Index of biventricular interdependence calculated using cardiac mri: Literature and imaging findings were reviewed with neuroradiology, with mri being compatible with clippers. Magnetic resonance imaging (mri) is a medical imaging technique used in radiology to form pictures of the anatomy and the physiological processes of the body. Перевод статьи evans r.w., incidental findings and normal anatomical variants on mri of the brain in adults for primary headaches.

Accuracy and reproducibility of a quantitative magnetic resonance imaging method for concurrent measurements of tissue relaxation times and proton density.

Mri is the imaging modality of choice for the assessment of patients with suspected brainstem the appearance of clippers on mri is fairly unique, characterized by multiple punctate, patchy and. Pathria's specific areas of interest include musculoskeletal trauma, emergency radiology, and musculoskeletal mr imaging. Alibaba.com offers distinct smart medical diagnostic and advanced used mri for sale for hospitals and labs. For the intrinsic small and thin structures of the tfcc, high field mr scanner e.g., 3 tesla mr scanner is ideally used to acquire a high spatial, high contrast imaging data (1,18). Differential diagnosis, clinical and mri characteristics of clippers syndrome as well as treatment approaches are discussed. .brain stem and cerebellum, by specific magnetic resonance imaging (mri) changes magnetic resonance imaging and perfusionweighted imaging for monitoring features in severe clippers. Although the perivascular lesion localization is a pathologic hallmark of clippers, an intralesional vessel could not be depicted in vivo by using conventional mri at lower magnetic field strength. Magnetic resonance imaging (mri) of the brain revealed diffuse signal change within the pons, cerebellar peduncles and pontomedullary junction with some mass effect, and characteristic punctate. Index of biventricular interdependence calculated using cardiac mri: Mini pathria and jennifer bradshaw. Magnetic resonance imaging (mri) is a medical imaging technique used in radiology to form pictures of the anatomy and the physiological processes of the body. Перевод статьи evans r.w., incidental findings and normal anatomical variants on mri of the brain in adults for primary headaches. Muscle mri sequences & patterns asymmetric myopathy hereditary acquired connective tissue neurogenic.

Muscle mri sequences & patterns asymmetric myopathy hereditary acquired connective tissue neurogenic clippers. Accuracy and reproducibility of a quantitative magnetic resonance imaging method for concurrent measurements of tissue relaxation times and proton density.

Posting Komentar

Lebih baru Lebih lama

Facebook